L’alluce valgo
L’alluce valgo è una patologia visibile nel piede.
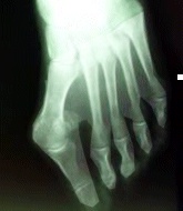
E’ caratterizzato dalla deformità del primo dito, comporta una deviazione laterale della falange. Con l’eventuale lussazione dei sesamoidi, due ossa che si trovano nell’articolazione dell’alluce. In pratica l’alluce valgo è una deformazione del piede che consiste nell’allontanamento dalla testa del primo metatarso dalle altre.
Ma questa patologia è ereditaria?
Non è la deformazione ad essere ereditaria, semmai lo può essere una “lassità legamentosa” e muscolare dei flessori dell’alluce. Legamenti e muscoli sono condizionati da un piede piatto, valgo. L’avampiede a vista sarà come un ventaglio, si allarga e dà vita alla protuberanza che caratterizza questa patologia. La base d’appoggio del piede viene modificata. Si sposta rendendo visibile l’allontanamento del dito verso l’esterno.
Il primo metatarso e l’alluce non sono più allineati ma formano tra loro un angolo detto valgismo. Da qui il nome a questa forma di deformità.
Quindi è antiestetico?
Si, se si parla di estetica, chi ha l’alluce valgo non risulta avere un piede grazioso alla vista. Chi è affetto da questa patologia è anche condizionato, per esempio, nella scelta delle calzature. Chi ha l’alluce valgo non riesce a stare comodo in tutte le calzature.
Chi è colpito da questa patologia?
Molte sono donne, se la patologia si evidenzia nell’età giovane, si può far riferimento a deformazioni congenite.
Qual è il sintomo? Se c’è?
Compare dolore che si prova anche a riposo, tumefazione e arrossamento anche in conseguenza alla posizione dell’alluce deformato e costretto nelle calzature.
Ma l’alluce valgo è quello che spesso sentiamo chiamare “la patata”, o “la cipolla”?
Si, è per la sua forma che viene definito così. Chi è colpito da questa deformità ha spesso anche dolore sotto le dita laterali all’alluce a livello della pianta del piede. La deformità colpisce anche le dita vicine.
L’elemento che colpisce di più in questa patologia è l’alluce deformato, in realtà la causa e l’origine di questa malattia è un’altra. La cipolla, è costituita dalla sporgenza della testa del metatarso, il primo metatarso si sposta verso l’interno e si allontana dal secondo. L’alluce si trova senza base d’appoggio e cade nello spazio tra i due metatarsi. Questa è la deviazione in senso laterale, dà il nome all’alluce valgo.
Le operazioni fatte in passato si orientavano verso la limatura della cipolla.
Questo tipo di intervento riportava l’alluce in asse. Successivamente veniva fissato con alcuni punti di sutura. Il difetto dell’intervento è che dopo un breve tempo l’alluce si riproponeva nella sua forma distorgendosi nuovamente. L’altra controindicazione era la semi-rigidità a cui veniva obbligato l’alluce post operazione, condizione poco recuperabile anche con la fisioterapia.
C’è un intervento moderno con meno controindicazioni?
La chirurgia mondiale ha stabilito che negli interventi moderni non si sposta più l’alluce ma il primo metatarso. Con delle incisioni si va a lavorare sul metatarso. Viene asportata la cipolla. Il metatarso sezionato prima viene spostato verso il 2° in modo da far rientrare la sporgenza.
L’alluce post operato quali indicazioni deve seguire? Viene messo un gesso, bloccato in qualche modo?
No, non c’è gessatura, è stato studiato che il blocco di parti come la spalla, l’anca quindi le parti articolari non vanno più immobilizzate. Le cartilagini intorno a queste articolazioni ne subiscono un danno. L’alluce operato verrà subito rimesso in movimento, scontato che l’appoggio del piede sarà più prudente.
Come si può parlare di appoggio prudente?
Indossando una calzatura speciale il paziente imparerà ad appoggiare il piede in modo prudente e graduale. I primi giorni la cura è il piede in scarico e avere tutte le attenzioni per non far formare un ematoma.
Si possono operare tutti e due i piedi contemporaneamente?
E’ possibile ma quasi la totalità dei pazienti esegue separatamente l’operazione.
Valentina

